Απόστημα στο δόντι: 4 φυσικοί τρόποι αντιμετώπισης (εικόνες)

Απόστημα στο δόντι: 4 φυσικοί τρόποι αντιμετώπισης (εικόνες)

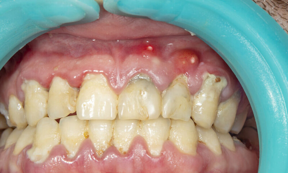
Η συγκέντρωση πύου στα ούλα ή στη ρίζα του δοντιού, που οφείλεται στην ύπαρξη φλεγμονής, ονομάζεται απόστημα.

Τα αποστήματα εμφανίζονται συνήθως μετά από οδοντιατρική χειρουργική επέμβαση, εξαιτίας λοίμωξης των ούλων, τραυματισμού ή φθοράς των δοντιών.

Εάν η λοίμωξη δεν θεραπευτεί, μπορεί να εξαπλωθεί σε άλλα σημεία του στόματος αλλά και στο αίμα, απειλώντας σοβαρά τη ζωή.

Τα συμπτώματα ενός αποστήματος είναι οίδημα στην περιοχή, έντονος πόνος και πικρή επίγευση κατά τη μάσηση ή κατά την πόση ροφημάτων, κακοσμία, ερυθρότητα και έντονο πρήξιμο των ούλων στην περιοχή του δοντιού με το πρόβλημα.

Δείτε στη gallery που ακολουθεί 4 φυσικούς τρόπους για την αντιμετώπιση των αποστημάτων:

Διαβάστε περισσότερα στο Onmed.gr



Τόπος «πράσινης» λατρείας – Ασταμάτητα sold out ο κόσμος του Παναθηναϊκού AKTOR
Τόπος «πράσινης» λατρείας – Ασταμάτητα sold out ο κόσμος του Παναθηναϊκού AKTOR
Καιρός: Από τους -10 έως τους... 11 - Οι ελάχιστες θερμοκρασίες το πρωί της Πρωτοχρονιάς στη χώρα
Καιρός: Από τους -10 έως τους... 11 - Οι ελάχιστες θερμοκρασίες το πρωί της Πρωτοχρονιάς στη χώρα
Παναιτωλικός: Απέκτησε και τον Γιάννη Σατσιά από τον ΑΠΟΕΛ
Παναιτωλικός: Απέκτησε και τον Γιάννη Σατσιά από τον ΑΠΟΕΛ
Κριστιάνο Ρονάλντο: Κλείνει το 2025 με ένα ακόμα ρεκόρ στον δρόμο για τα 1.000 γκολ!
Κριστιάνο Ρονάλντο: Κλείνει το 2025 με ένα ακόμα ρεκόρ στον δρόμο για τα 1.000 γκολ!
©2011-2026 Onsports.gr - All rights reserved