Απόστημα στο δόντι: 4 φυσικοί τρόποι αντιμετώπισης (εικόνες)

Απόστημα στο δόντι: 4 φυσικοί τρόποι αντιμετώπισης (εικόνες)

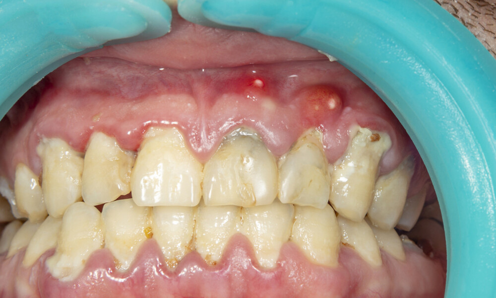
Η συγκέντρωση πύου στα ούλα ή στη ρίζα του δοντιού, που οφείλεται στην ύπαρξη φλεγμονής, ονομάζεται απόστημα.

Τα αποστήματα εμφανίζονται συνήθως μετά από οδοντιατρική χειρουργική επέμβαση, εξαιτίας λοίμωξης των ούλων, τραυματισμού ή φθοράς των δοντιών.

Διαβάστε περισσότερα στο Onmed.gr



Κάτρης: «Είμαι πολύ καλά προετοιμασμένος για να επιστρέψω στον Παναθηναϊκό»
Κάτρης: «Είμαι πολύ καλά προετοιμασμένος για να επιστρέψω στον Παναθηναϊκό»
Ολυμπιακός - ΠΑΟΚ: Η ενδεκάδα του Λουτσέσκου για το ντέρμπι του Κυπέλλου
Ολυμπιακός - ΠΑΟΚ: Η ενδεκάδα του Λουτσέσκου για το ντέρμπι του Κυπέλλου
Ολυμπιακός - ΠΑΟΚ: Η ενδεκάδα του Μεντιλίμπαρ για το ντέρμπι του Κυπέλλου
Ολυμπιακός - ΠΑΟΚ: Η ενδεκάδα του Μεντιλίμπαρ για το ντέρμπι του Κυπέλλου
Αντίστροφη μέτρηση για το rebranding του ΟΠΑΠ σε Allwyn
Αντίστροφη μέτρηση για το rebranding του ΟΠΑΠ σε Allwyn
©2011-2026 Onsports.gr - All rights reserved