Δείτε πως έγιναν τα μάτια του όταν τον «χτύπησε» το ρεύμα

Δείτε πως έγιναν τα μάτια του όταν τον «χτύπησε» το ρεύμα

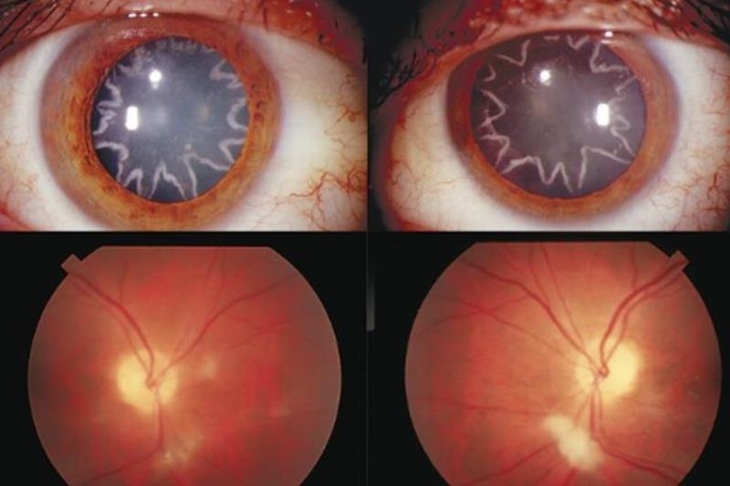
Ένας 42χρονος ηλεκτρολόγος στην Καλιφόρνια έπαθε ηλεκτροπληξία με αποτέλεσμα να διαπεράσουν το σώμα του 14.000 volt πλήττοντας τα οπτικά του νεύρα, προκαλώντας μίας μορφή καταρράκτη.

Πλέον οι κόρες των ματιών του 42χρονου έχουν σχήμα αστέρι και η σπάνια αυτή περίπτωση δημοσιεύθηκε στο περιοδικό New England Journal of Medicine από τον οφθαλμίατρο που κλήθηκε να εξετάσει τον ηλεκτρολόγο.

Όπως εξηγεί, ο οφθαλμίατρος Bobby Korn που εξέτασε το 42χρονο "το οπτικό νεύρο λειτουργεί σαν ένα καλώδιο το οποίο είναι αγωγός του ηλεκτρισμού".
Ο 42χρονος έπαθε ένα είδος "άμεσου καταρράκτη". Ο καταρράκτης είναι μια εκφυλιστική πάθηση του φακού του ματιού, που εκδηλώνεται συνήθως σε άτομα τρίτης ηλικίας και προκαλεί έντονη θόλωση της όρασης.

Διαβάστε περισσότερα στο onmed.gr και το θέμα: Δείτε πως έγιναν τα μάτια του όταν τον «χτύπησε» το ρεύμα

Δείτε αποκλειστικά βίντεο στο Onsports TV



Δυστύχημα με φιλάθλους του ΠΑΟΚ στη Ρουμανία: Οι εκτιμήσεις εμπειρογνώμονα για το θανατηφόρο τροχαίο
Δυστύχημα με φιλάθλους του ΠΑΟΚ στη Ρουμανία: Οι εκτιμήσεις εμπειρογνώμονα για το θανατηφόρο τροχαίο
AEK: Πέτρος Μάνταλος και «ΛεΜπρον Τζέιμς» Μουκουντί με εμφάνιση της μπασκετικής ομάδας! (βίντεο)
AEK: Πέτρος Μάνταλος και «ΛεΜπρον Τζέιμς» Μουκουντί με εμφάνιση της μπασκετικής ομάδας! (βίντεο)
EuroLeague: Η Παρί έβαλε «φρένο» στη Ρεάλ Μαδρίτης - Η βαθμολογία και το πρόγραμμα
EuroLeague: Η Παρί έβαλε «φρένο» στη Ρεάλ Μαδρίτης - Η βαθμολογία και το πρόγραμμα
Γκάλης για δυστύχημα φιλάθλων του ΠΑΟΚ: Είναι εξαιρετικά λυπηρό να χάνουν τη ζωή τους νέοι άνθρωποι
Γκάλης για δυστύχημα φιλάθλων του ΠΑΟΚ: Είναι εξαιρετικά λυπηρό να χάνουν τη ζωή τους νέοι άνθρωποι
©2011-2026 Onsports.gr - All rights reserved