Απίστευτο ιατρικό λάθος: Ασθενής έφυγε από το νοσοκομείο με μασέλα κολλημένη στο λαιμό του

Απίστευτο ιατρικό λάθος: Ασθενής έφυγε από το νοσοκομείο με μασέλα κολλημένη στο λαιμό του

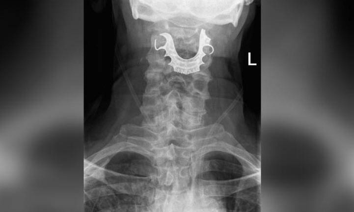
Μία… μασέλα κολλημένη στον λαιμό του είχε επί οκτώ ημέρες ένας 72χρονος, μετά από χειρουργική επέμβαση.

Ο άνδρας από την Αγγλία, υποβλήθηκε σε χειρουργείο για την αφαίρεση ενός ακίνδυνου όγκου, αλλά οι γιατροί παρέλειψαν να του βγάλουν τη μασέλα πριν την επέμβαση.

Έξι μέρες μετά, επέστρεψε στο νοσοκομείο, διαμαρτυρόμενος για αίμα στο στόμα του και δυσκολία στην αναπνοή και την κατάποση.

Διαβάστε περισσότερα στο Cnn.gr



Ο Γιούργκεν Κλοπ διάλεξε τους τέσσερις κορυφαίους προπονητές στην ιστορία του ποδοσφαίρου
Ο Γιούργκεν Κλοπ διάλεξε τους τέσσερις κορυφαίους προπονητές στην ιστορία του ποδοσφαίρου
EuroLeague: Ήττες για Ζαλγκίρις και Μονακό - Μόνος 4ος ο Παναθηναϊκός πριν τη Χάποελ | Η βαθμολογία
EuroLeague: Ήττες για Ζαλγκίρις και Μονακό - Μόνος 4ος ο Παναθηναϊκός πριν τη Χάποελ | Η βαθμολογία
Διηπειρωτικό Κύπελλο: Πρωταθλήτρια κόσμου η Παρί Σεν Ζερμέν - Απίστευτος Σαφόνοφ, έπιασε 4 πέναλτι
Διηπειρωτικό Κύπελλο: Πρωταθλήτρια κόσμου η Παρί Σεν Ζερμέν - Απίστευτος Σαφόνοφ, έπιασε 4 πέναλτι
Η θέση της ΑΕΚ στη League Phase του UEFA Conference League κρίνεται στην COSMOTE TV
Η θέση της ΑΕΚ στη League Phase του UEFA Conference League κρίνεται στην COSMOTE TV
©2011-2025 Onsports.gr - All rights reserved